扫描二维码添加微信
微信号:18103268866
扫描二维码添加QQ
QQ号:3525642302
请使用微信扫描二维码查看当前页面
了解我们的最新动态、行业资讯和技术分享
近日,AI小工具“关机吧人类”因能够“自己赚钱”引发关注。据“关机吧人类”Skill开发者透露,用户一旦超过约定的使用时间,Skill就会自动扣费并执行关机。可以预见,当每一个AI Skill都能通过
4月17日,中国科学院脑科学与智能技术卓越创新中心刘赐融、孙怡迪研究组联合华大研究院等多家单位,通过研究首次揭示了灵长类大脑皮层双相反分子梯度组织规律,成功破解学界长期以来关于大脑皮层起源与扩张的学术
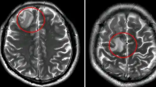
感冒后想通过汗蒸“排毒”,34岁男子两天内汗蒸三次,出现头晕手抖、行走不稳症状,被确诊为危险的脑静脉窦血栓。广东三九脑科医院神经内二科医生介绍,这是一种罕见却危险的中风。起因是汗蒸脱水导致血液浓缩,脑
4月17日,小米创始人雷军在直播中表示,小米汽车未来几年内不会推出10万元以下车型,因电动汽车智能化需高成本投入,难以低价实现。仅智能座舱与辅助驾驶硬件成本已超2万元。
苏林试戴人工智能眼镜
4月16日,国家统计局发布3月份70个大中城市商品住宅销售价格数据,释放明确积极信号:四大一线城市房价率先实现全面反弹,彻底打破此前持续下行的市场格局,成为全国楼市逐步企稳回升的核心风向标。
近日网传“高楼起火奶牛猫叼小猫跳下被消防接住”的视频走红。经记者核实,该视频并非真实事件,事发地在国外,且为AI生成,发布者也已证实这一点。
近日,常州光之矩智能科技有限公司研发的便携式激光驱蚊设备登陆海外众筹平台Indiegogo后迅速走红。该项目原定2万美元众筹目标,最终筹款超160万美元,达成率逾80倍,吸引2600余名海外支持者抢购